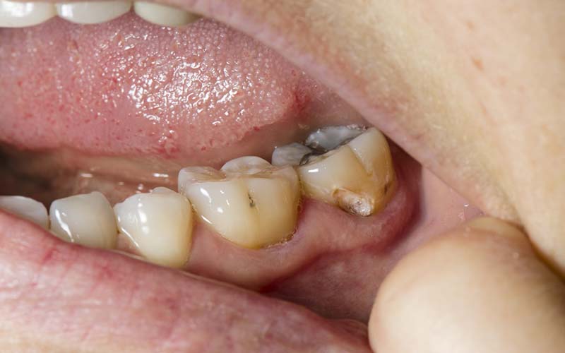
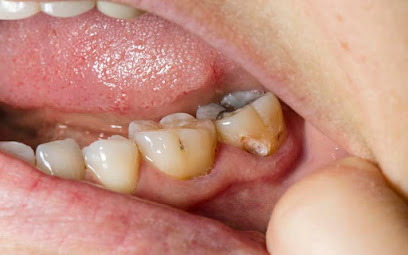
If you are worried about your health then you are probably older or living in 2021. It has been a wild ride, and much suffering has taken place for a false sense of security. But what I have seen is that it can be worth it to suffer a little to save lots of suffering in the long run. It is a sad truth of life and that can be a good thing when it comes to your dental health. I know that to me it is totally worth it to lower the food and drinks that I intake during the holidays to save my teeth lots of struggles in a few years. I have found this to be the absolute truth during the last few years and I much enjoy not spending thousands of dollars on dental visits and surgeries simply by not eating and drinking as much of the things I love during the holidays. This is simply a fact of life in that growing up gives you choices that are not always great but can have great consequences. Tooth decay is a terrible thing and I want to help others fight it. So here are a few tips of mine that I try to implement in my life to fight tooth decay.
Your diet is really key in most areas of health. Your teeth are no different. So watching what you drink can have a major impact on your dental health. It sounds very simple, but you may need to try to substitute a little more of the salad bar or celery snacks instead of cookies and pie this year. I know that we all love our family's classic dishes or things that our friends make, but it is important that we not overindulge and end up putting sugar and acid on our teeth way too much. I think that it is a good thing to enjoy the holidays, but not great to overindulge and to put our teeth at risk. As with all things balance is key in life. You can enjoy the sweet treats and drinks, but moderation and a good dental regime are key to combatting those times.
If you are not drinking a lot of water a day then you need to be doing it. Especially, when you are at a party this easter or upcoming holiday season. This means that I am attempting to drink a glass of water for each sweet drink or alcoholic beverage I have. My goal is to help clean my teeth by rinsing them off with water constantly. This is a great way to help your teeth stay clean and to fight away the food particles and sugary drinks that are clinging to your teeth and are eating away at your enamel. Drinking water can help you in so many beneficial ways. So add it to your daily life, even during parties and holiday times.
What it does is keep your body hydrated and running smoothly. This means that your body will produce the correct amount of saliva during these holidays as well. With this, you can double down on keeping your mouth clean because the saliva actually keeps your mouth clean as well. it is your body's natural mouth wash and helps to get those nasty tooth-eating substances off your teeth. So keep an extra bottle of water around make it a plan to keep a cup of water with you during the parties. It is always a money-saving venture when it comes to your dental health in the long run!

