Dental Implants
When a person has a lost tooth, the dentist suggests
him/her a dental implant treatment to restore the teeth’s appearance and give
an even smile. They have placed in the roots of the missing teeth. They have a
metallic screw structure and shape. They fix the problem and make the tooth
strong. They fill the gap of your natural teeth and perform the organic
functions of the teeth. Moreover, the implants have three parts. These sections
are responsible for sturdy construction and fixation in the root. One of the
slices of implants is the abutment. This is one of the primary chunks of dental
implants.
Dentures are another procedure that can fix the lost
tooth problem. However, in a few cases, you need dental implant treatment to
repair the issue. Another therapy is dental bridges, it also replaces the gap
and gives you a new tooth and even teeth. Well, a dentist decides the treatment
for a patient according to the affordability of the person and the symptoms.
Every tooth loss does not have the same issues and requires a dental implant.
Some tooth replacement needs dentures or dental bridges surgeries.
The
Procedure of Dental Implants
The dental implant needs surgery, it can take more than
one hour. It requires the installation of a metal (a screw-shaped) into the
roots of the lost tooth. Therefore, first, the dentist will numb the entire
area. He/she will give you two injections in the gums. When the whole mouth
gets anesthetic, then the dentist will start the procedure.
Dentists identify and find the exact location of the
root. As they will have to insert the metal deep in the origin. However, they
will install the implant in the bone of the tooth. They will use a tool, shaped
like a screwdriver to inject the metal in the jaw bone or root. Then, they will
place a tooth-shaped crown on the implant. This will help you in speaking and
chewing the food. Your artificial dental implant will play an organic function
while taking and eating. Moreover, the surgery will give you pain once the
effects of injections wear away. Moreover, you might feel minor wounds in the
gums and roots. This will take time to heal. You will also feel pangs for one
or two weeks. Your dentist will recommend you some painkillers and antibiotics.
However, you will require a regular visit to the clinic, until you get better.
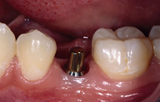
Abutment
It is a connecting feature that will hold the crown in
the jaw. An abutment will protect the implant. The metal has the primary
ingredient and that is titanium. However, the crown has the following elements,
including metal, zirconia, porcelain, and ceramic.
Moreover, dental implant surgery needs a healthy jawbone.
If a person has weak roots, then the treatment is not appropriate for them. If
a patient does not have a sturdy bone in the jaw, the dentist will perform a
bone graft procedure. In this operation, doctors will take a small bone from
another part of the body, then they will insert that piece in the root of the
tooth, they will perform the dental implant procedure. This will support the
metal, jawbone, and crown.
Role
of the Abutment
After the insertion of the metal in the jawbone, the
dentist will place the abutment. The fixation of the metal-post will require
two to three months. Well, they can use any material of the abutments, like
titanium, gold, stainless steel, zirconia, and polyether ether ketone. It
depends on the need and support of your roots and jawbones. Dentists will
decide the material on their own. They know what is better for your gums and teeth.
They have natural shapes and colors. These are ideal crowns for the lost tooth.



No comments:
Post a Comment